Fastbraces

Fastbraces

What is Fastbraces®?

Fastbraces® were developed to straighten teeth differently.

Fastbraces® is the revolutionary system of fast, safe, easy and affordable braces that is changing the field of orthodontics.

It is a complete, non-extraction system for most cases, which provides patients with outstanding results.


How does it work?

Traditional braces move teeth into position in two stages, usually over a period of about two years.

In the first year, the crown of the tooth is moved into alignment. In the second year, treatment addresses the position of the root of the tooth.

However, the brackets used with Fastbraces® work on a different mechanical principle altogether.

The patented system uses an innovative triangular bracket and a specially- shaped square wire to correct the position of the root of the tooth, from the beginning of treatment.

This combination is key in realigning the root and crown simultaneously.


How long is the treatment time?

Fastbraces® Technology gently allows for movement of the roots of the teeth towards their final position from the onset of treatment, achieving root parallelism at the beginning stages, thus completing treatment from 3 months to about a year.

Some patients see results in just weeks.


Are Fastbraces® less painful?

University research has shown that Fastbraces® Technology has low mean frictional forces, a clear-cut reduction in sliding friction and pain reduction with fitting front and back teeth together.


How do I know if Fastbraces® are right for me?

Here are a few simple questions to ask yourself that can help determine whether or not you are a good candidate:

  • Would you like a straighter, more beautiful smile?

  • Would you like that beautiful smile in a few short months instead of years?

  • Would you like to experience less discomfort?

  • Would you like to pay less for your orthodontic treatment?

If you answered ‘Yes’ to any of these questions, then you could be a great candidate for Fastbraces®!

Contact Us

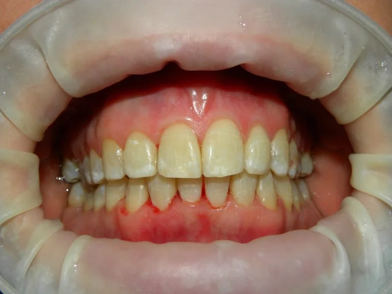
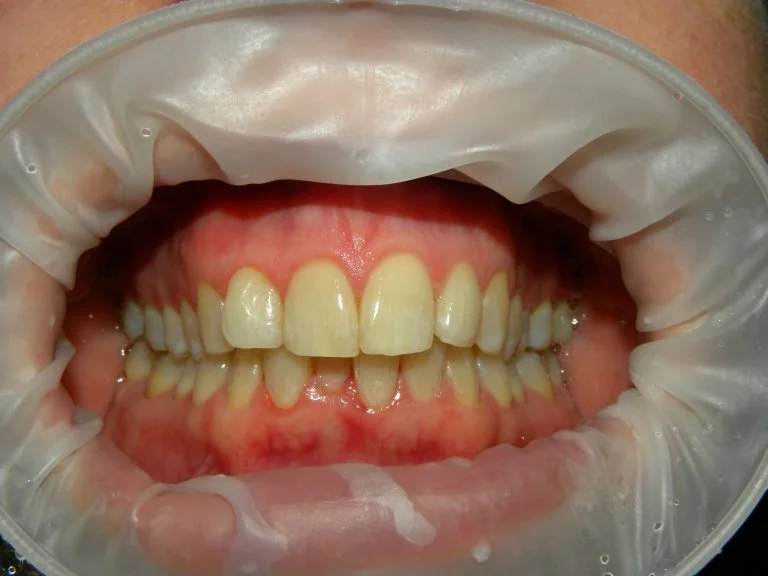
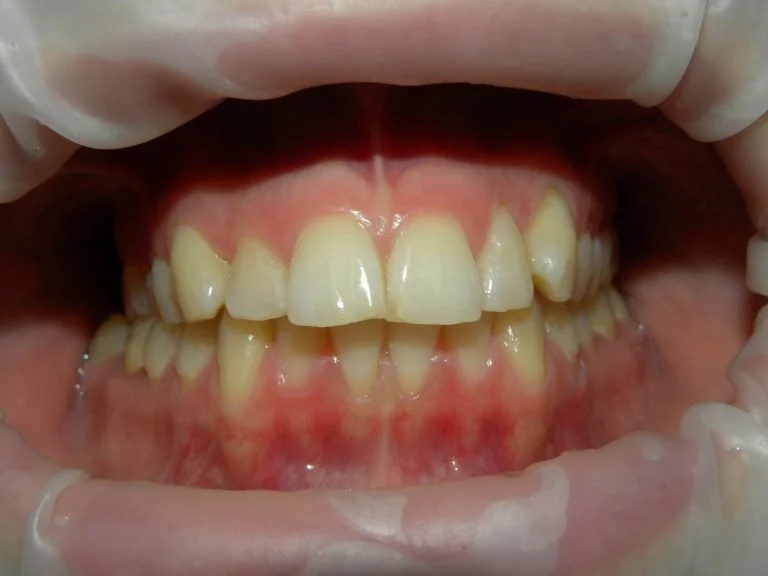
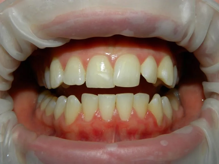
Fastbraces Before & After